一、超声造影
超声造影(contrast-enhanced ultrasound, CEUS),又称超声声学造影,是继实时灰阶超声(B超)、彩色多普勒超声之后超声医学的第三次革命,作为目前最先进的超声成像技术,超声造影被誉为“无创性微循环血管造影”,具有实时、动态、无电离辐射、操作方便的优点。CEUS是在常规超声检查的基础上,通过静脉注射超声造影剂,利用血液中造影剂气体微泡来增强组织内微血管的显示,实时动态地观察正常组织和病变组织的血流灌注情况,显著提高了病变的检出率并能够对良恶性病变进行鉴别。
目前临床广泛应用的超声造影剂为微气泡,大小与血液中红细胞相仿,粒径通常为2~5微米,经外周静脉注入后,能自由通过肺循环,再到体循环,到达靶器官或组织,但不能穿过血管内皮进入组织间隙,因此决定了超声造影是一种纯血池造影显像技术。造影剂一般可在静脉注射15分钟后全部通过呼吸排出体外,毒副作用极少,过敏反应的发生率微乎其微(<0.1 ‰),效果安全可靠。
二、超声造影在腹部疾病中的临床应用
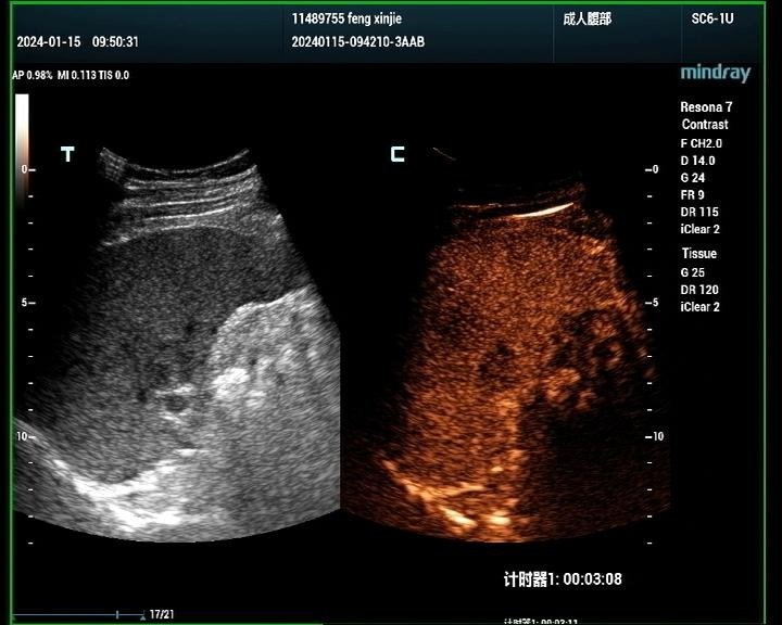
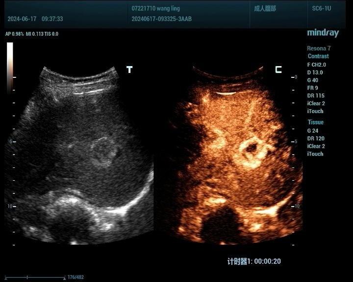
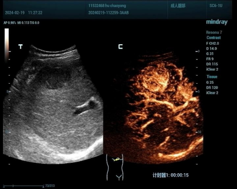
1、肝脏占位性病变:
肝脏肿瘤分为良性和恶性,其中血管瘤是最常见的肝脏良性肿瘤,肝癌是最常见的恶性肿瘤。肝脏肿瘤超声影像诊断方面主要有肿瘤病灶的检出、对已检测肿瘤的定性诊断、肝局灶性病灶中肿瘤与非肿瘤病变的鉴别。超声造影对肝脏肿瘤的鉴别诊断主要是通过增强和动态增强方式观察肿瘤。
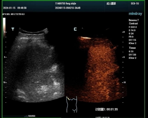
肝癌病例1
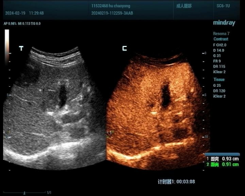
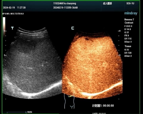
肝癌病例2

肝血管瘤




三、超声造影在浅表器官的应用:
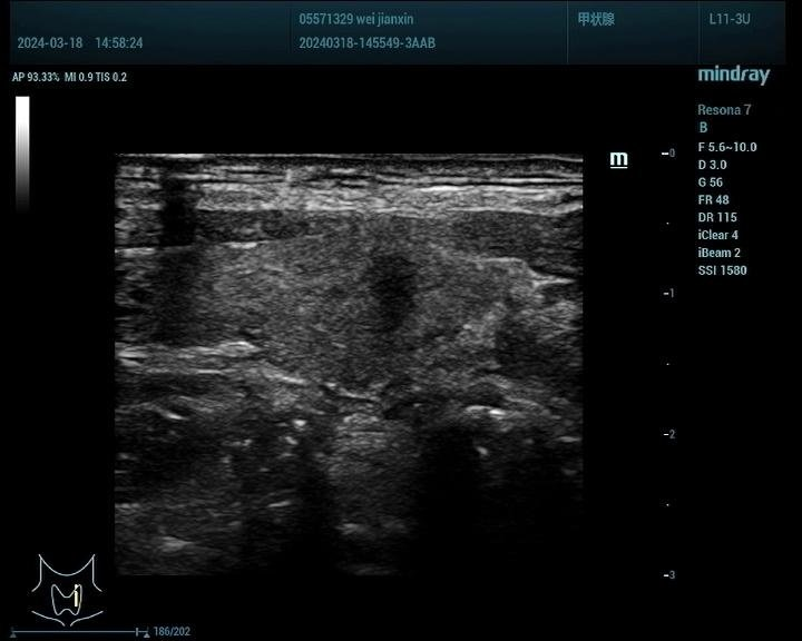
1、甲状腺:
观察甲状腺结节的血供情况:超声造影能够显示甲状腺结节的血供情况,有助于判断结节的活性及是否存在恶变倾向。
鉴别甲状腺结节的良恶性:通过超声造影,可以观察到结节的边界、形态、内部回声等特征,从而对结节的良恶性进行初步鉴别。
甲状腺癌病例



2、乳腺
判断肿瘤的良恶性:通过超声造影,医生可以初步判断乳腺肿瘤的良恶性,为临床治疗提供参考。
明确恶性肿瘤的范围:对于恶性肿瘤,超声造影能够明确其范围,有助于制定手术方案及评估预后。
术后瘢痕与肿瘤的鉴别:乳腺手术后的瘢痕与肿瘤在超声表现上可能存在相似性,超声造影有助于二者的鉴别。
非手术治疗疗效评估:对于非手术治疗的乳腺癌患者,超声造影能够评估其疗效,为治疗方案的调整提供依据。
乳腺癌病例


