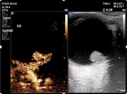
超声检查不仅能够直观的观察眼部病变形态结构,更是目前唯一能够反应眼部血管血流动力学的影像学检查方法。然而由于眼部血管分布密集表浅,普通超声检查的分辨力和敏感性无法满足精准诊断的临床需求。超微血流成像技术是一种新型的可以检测出高分辨率和最小伪影的小血管血流的检测方法,可以用于检测组织中缓慢和微弱的血流解剖。但对于视网膜动静脉栓塞,高血压、糖尿病等视网膜病变,肿瘤病变良恶性鉴别等仍存在不足。近年来随着超声造影技术的迅速发展,超声造影技术对微小血管和低流速、低流量血流信号具有更高的检出率,并且能更优质的显示组织血流的灌注特点。超声造影其独特的显像特点将在眼部占位,眼部血管性病变中取得更大的发展。将超声造影联合超微血流成像技术应用于眼底病变的观察可能为眼科疾病的诊断和鉴别诊断提供一种创新的融合显像检查方法。




