正常或有功能的心肌细胞可以选择性摄取某些放射性核素或核素的标记物,不仅心肌组织局部放射性药物的蓄积量与局部心肌的血流量呈比例关系,而且心肌细胞摄取心肌灌注的显像药物需要依赖心肌细胞本身的功能和活性。利用这一特性采用SPECT进行心脏平面及断层显像,当冠状动脉狭窄时,该血管支配的心肌对显像剂的摄取较周围正常心肌减少,在影像上表现为稀疏甚至缺损,从而达到了解心肌供血和诊断心脏疾病的目的。
适应证:1、配合负荷心肌灌注显像应用;2、有运动负荷及药物负荷禁忌证的患者,可仅行静息显像;评估病情较重的患者,可先行静息显像。禁忌证:无明确禁忌证。
检查前准备:1、空腹3小时以上,若为糖尿病患者有高度低血糖风险,或检查时间较晚,可进食少量清淡饮食(谷类食物和水),保持检查前空腹3小时以上;2、自备脂餐。
显像方法:静脉注射99mTc-MIBI后30分钟进食脂餐,60~120分钟行SPECT显像,检查前饮水约300ml。
开单流程:检查→核医学→SPECT→静息心肌灌注断层显像。
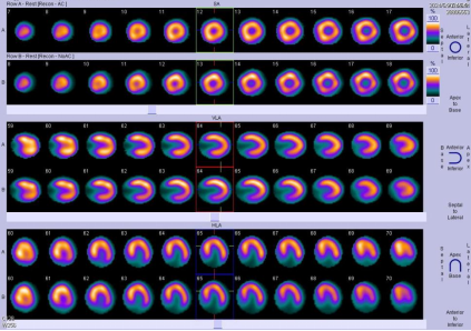
静息心肌灌注断层显像正常图像:

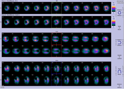
静息心肌灌注断层显像异常图像(左心室心尖、前壁中部、前间隔中部、下间隔中部、下壁中部心肌灌注减低、缺损):
