冠状动脉具备一定的自身调节功能。一般而言,对于冠状动脉狭窄不是特别严重的患者,其静息显像常表现为无明显异常。在负荷状态下(如运动、药物等),正常冠状动脉血流量可增加3~5倍,而病变冠状动脉储备功能受损,两者血流量及心肌血流灌注显像剂的相对分布出现明显差异,不仅提高了对病变的检出率,而且可反映狭窄冠状动脉血流储备功能。负荷诱发心肌缺血程度与范围可反映冠心病的危险程度。因此,冠心病心肌缺血诊断推荐行负荷和静息显像,并进行对比。
运动负荷显像是心脏在机体运动负荷状态下,心肌耗氧量相应增加,正常冠状动脉血流量明显增加以维持心肌的供血、供氧需求,而病变冠状动脉则扩张有限或不能扩张,使冠状动脉狭窄区域与正常区域的心肌血流灌注出现明显差别,通过此时注射体内的心肌血流灌注显像剂的分布,直观显示心肌缺血的位置、范围和程度信息。
适应证:1、冠心病的诊断;2、已确诊冠心病患者,心肌缺血及梗死的部位、范围和程度评价;3、冠状动脉血管重建术治疗适应证评估及术后评估、再狭窄监测;4、冠心病危险分层及预后评估(包括冠心病患者非心脏手术术前评估);5、冠状动脉微血管疾病的诊断;6、心力衰竭病因的诊断(包括缺血性心力衰竭及非缺血性心力衰竭)、心肌缺血评估、左心功能及心室机械收缩同步性评价。禁忌证:绝对禁忌证:1、高危不稳定性心绞痛;2、急性心肌梗死(<4天);3、失代偿性或未充分控制的充血性心力衰竭;4、静息时,收缩压>200 mmHg,和(或)舒张压>110 mmHg;5、不受控制的严重心律失常(引发症状或血流动力学改变);6、严重症状性主动脉瓣狭窄;7、急性肺栓塞和(或)下肢静脉血栓;8、急性主动脉夹层;9、急性心肌炎或心包炎;10、重度肺动脉高压;11、其他急性症状性疾病。相对禁忌证:1、显著性左主干冠状动脉狭窄;2、无症状性重度主动脉瓣狭窄;3、肥厚型梗阻性心肌病,或其他形式严重流出道梗阻;4、显著快速型或缓慢型心律失常;5、高度房室传导阻滞;6、电解质异常;7、导致无法进行运动负荷试验的精神或身体障碍。
检查前准备:1、空腹3小时以上,若为糖尿病患者有高度低血糖风险,或检查时间较晚,可进食少量清淡饮食(谷类食物和水),保持检查前空腹3小时以上;2、运动负荷检査前停服β受体阻滞剂、硝酸酯类药物、钙通道阻滞剂2~3个半衰期(若不清楚具体药物类型,推荐统一停药24~48小时);3、检查当日穿宽松衣裤和运动鞋,不宜穿连体衣,以便连接心电图及平板运动;4、自备脂餐。
显像方法:采用Bruce方案,监测并记录不同阶段的12导联心电图、血压、心率等,若出现异常改变,则随时记录;观察患者的症状及体征变化。达到目标心率或出现终止试验指标时注射显像剂:预先建立静脉通路,一旦达到负荷终止条件,即刻注射。注射显像剂后继续运动1~2分钟。静脉注射99mTc-MIBI后30分钟进食脂餐,30~90分钟行SPECT显像。
开单流程:检查→核医学→SPECT→负荷心肌灌注断层显像。
负荷心肌灌注断层显像正常图像:

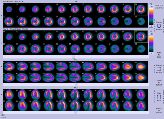
负荷心肌灌注断层显像异常图像(左心室心尖、前壁心尖部、前壁中部、间隔心尖部、前间隔心肌灌注减低):
