|
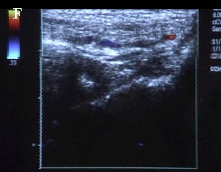
A 连接三联管及穿刺针准备 B 超声引导下注射针进入瘤腔底部(箭头处) C 经注射针注入盐水出现超声频闪现象; D 远端瘤腔内血栓逐渐形成; E 远端、近端瘤腔内血栓完全形成; F 术后足背动脉血流良好. 国内首家开展,例数最多,疗效肯定。此技术在全国推广应用。处于全国领先水平。 |
下一条:体外震波碎石术
新桥医院订阅号
新桥医院服务号
互联网医院
新桥医院视频号
新桥医院抖音号