|
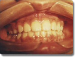
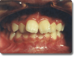
对于儿童及成人的牙齿排列不及,采用方丝弓固定矫正技术治疗儿童及成人的各类牙齿不齐。对于替牙期及恒牙牙列早期的骨性Ⅲ类错颌即“地包天”,采用固定快速扩弓,同期应用面具式前方牵引器,牵上颌前移,对牙面畸形进行矫形治疗,不仅治疗牙列不齐,同时矫正面部畸形,促使面部正常生长发育。 |
下一条:高频电扁桃体挤切术
新桥医院订阅号
新桥医院服务号
互联网医院
新桥医院视频号
新桥医院抖音号