|
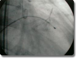
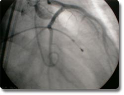
肥厚梗阻性心肌病为心室间隔和左室后壁非对称性肥厚、心脏排血受阻,可引起心力衰竭、心绞痛和心原性猝死,其药物治疗效果欠佳。肥厚梗阻型心肌病化学消融术是经导管阻断供应室间隔的冠状动脉使其得到根治。我科开展此技术在国内起步早、军内及西南领先,其疗效肯定、并发症少、病人痛苦小、花费少。 |
上一条:微创内窥镜(MED)腰椎间盘术
下一条:微创内窥镜颈椎前路手术
新桥医院订阅号
新桥医院服务号
互联网医院
新桥医院视频号
新桥医院抖音号