|
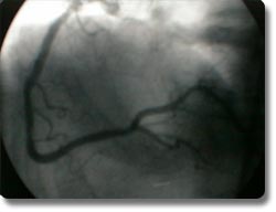
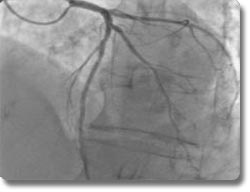
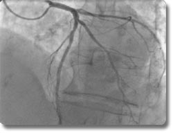
PTCA及支架植入术是当今世界上治疗冠心病最先进的方法。在X线透视下,将球囊导管送到病变的冠状动脉,扩张狭窄的血管并植入支架支撑,是内科治愈冠心病最有效的手段。我科1984年开展选择性冠状动脉造影、1994年开展PTCA及支架植入术,现已累计病例2000余例次。接受PTCA及支架植入术的患者最大年龄为92岁。 |
上一条:冠心病临床治疗
新桥医院订阅号
新桥医院服务号
互联网医院
新桥医院视频号
新桥医院抖音号