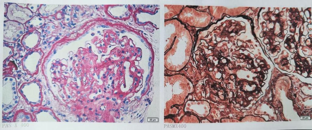
学科具有独立开展肾脏病理诊断资质,现有专职病理医师4名、技术员3名,常规开展光镜、免疫荧光、透射电镜检查。针对特殊病例,中心还可行油红O、III型胶原、IV型胶原载脂蛋白等特殊染色,实验室还开展免疫组化CD3、CD20、CD38、CD68等分子病理染色检查等病理检查项目,强力支撑了临床诊治和预后判断。现年肾活检2300余例,累计完成3万余例。


上一条:腹膜透析技术
下一条:重症肾脏疾病及并发症诊治
新桥医院订阅号
新桥医院服务号
互联网医院
新桥医院视频号
新桥医院抖音号