医院首页
科室首页
科室介绍
科室动态
专家团队
特色技术
医院首页
科室首页
科室介绍
科室动态
专家团队
特色技术
特色技术
特色技术
特色技术
当前位置:
科室首页
>
特色技术
>
正文
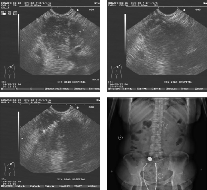
超声内镜引导下I125置入治疗胰腺癌
来源:消化内科
作者:
点击数:
上一条:
PTCD胆道支架植入术
下一条:
内镜下支架植入术治疗急性阑尾炎