医院首页
科室首页
科室介绍
科室动态
专家团队
特色技术
医院首页
科室首页
科室介绍
科室动态
专家团队
特色技术
特色技术
特色技术
特色技术
当前位置:
科室首页
>
特色技术
>
正文
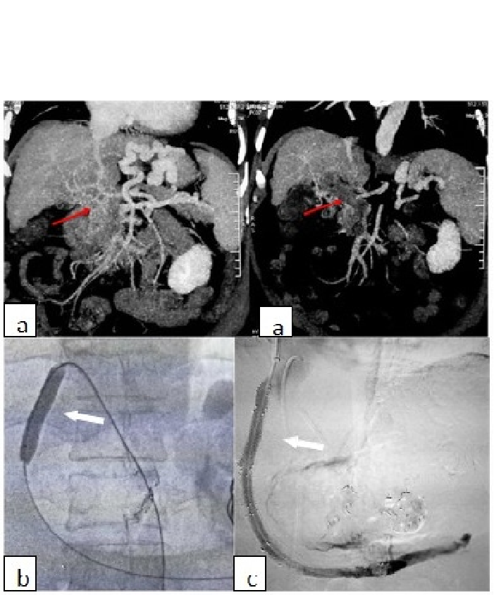
血栓抽吸、扩张后行TIPS(肝硬化基础PVT)
来源:消化内科
作者:
点击数:
上一条:
直接TIPS+支架压迫血栓 (肝硬化基础PVT)
下一条:
与粗大门静脉侧枝行TIPS (肝硬化基础PVT)