医院首页
科室首页
科室介绍
科室动态
专家团队
特色技术
医院首页
科室首页
科室介绍
科室动态
专家团队
特色技术
特色技术
特色技术
特色技术
当前位置:
科室首页
>
特色技术
>
正文
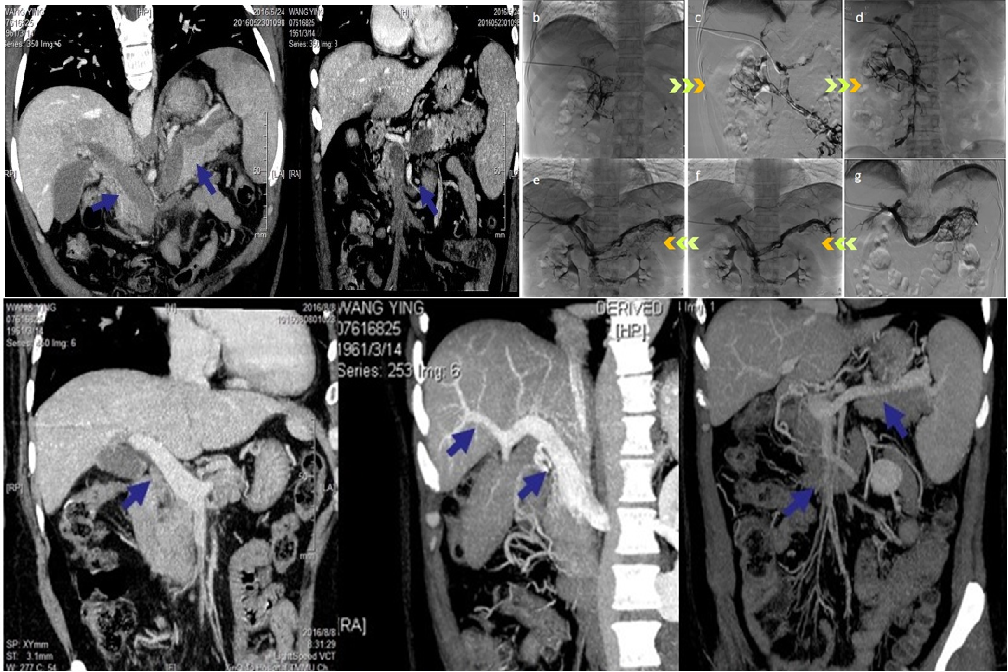
经皮肝穿门静脉溶栓及球囊扩张术 (非肝硬化基础PVT)
来源:消化内科
作者:
点击数:
上一条:
经皮肝穿门静脉开通及支架置入术(非肝硬化基础PVT)
下一条:
直接TIPS+支架压迫血栓 (肝硬化基础PVT)